Sunday, July 18, 2010
Treatment for Dental Fluorosis
Fluorosis: Varied Treatment
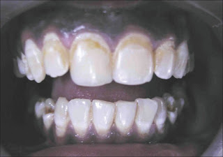
In case A, patient had mild grade of fluorosis and therefore in-office vital bleaching procedure with McInnes solution was advocated. McInnes solution has been successfully used for treating mild fluorosis. Advantage of this procedure is that it is relatively non-invasive compared to other restorative procedures and also it could be done with minimum chair side time. The main disadvantage of this procedure is the postoperative sensitivity it produces and that it cannot be employed in patients with more severe grade of fluorosis. [24] Vital bleaching is more successful for fluorosis in younger patients presenting with opaque to orange colour stain rather than older patients with darker type of brown stains. [25]
-----------------------------------------------------------------------------------------------------------------------------
In case B patient had mild grade fluorosis and micro and macro abrasion were employed. Advantage of micro and macro abrasion being its much faster procedure in achieving the desired result compared to other treatment options. However, the main disadvantage is that these procedures employ high speed rotary instrument which can lead to excessive removal of tooth structure is operator does not have the desired skill level. [17]
Abrasion techniques can be successfully employed for discoloration presented either as single line discoloration or patchy type of discoloration, it cannot be successfully employed for discoloration which is more diffuse in nature. [26] Both the bleaching technique and abrasion procedures could be employed only for mild to moderate grade fluorosis. [25],[26] Most of the times, a combined treatment regimen of bleaching and abrasion procedures is employed to produce the desired aesthetic result in patients with yellowish discoloration due to fluorosis. [27]
-------------------------------------------------------------------------------------------------------------------------------
In case C, the patient had moderate type of fluorosis which necessitated that the patient was treated by veneer procedure. Veneers have been successfully employed for management moderate grade fluorosis, [15] Because of the time constraint given by patient, direct composite veneer treatment option was selected. Advantage of direct composite veneer is that it is done with minimal chair time when compared to indirect ceramic veneers, disadvantage being its long term wear resistance, color stability. [17]
------------------------------------------------------------------------------------------------------------------------
In case D, patient had loss of vertical dimension of occlusion and patient's inter-occlusal space was 4mm at rest. Therefore a treatment plan was evolved to increase the vertical dimension of occlusion by 4mm which was within the limit for the patient. [20] Full mouth restorations were planned with metal ceramic crowns. This treatment option of restoring vertical dimensions of occlusion for severe fluorosis patients requires careful investigations and preparation. This treatment option is limited to cases with severe fluorosis and loss of inter-occlusal space. Advantage of this procedure is that it is an extensive procedure by which the desired aesthetic results and functional efficiency is achieved. The main disadvantage is also its extensiveness in treatment procedure which requires extensive lab procedure and operator skill, knowledge.
In each of the treatment options described above, each one has its own advantages and disadvantages; a good clinician should be aware of all the treatment options available assess its merits and demerits and select the best treatment option according to individual patient needs.
The rest of the article is here: http://www.ncbi.nlm.nih.gov/pmc/articles/PMC2883808/?tool=pubmed
Sunday, May 30, 2010
How Lead Gets into Your Fluoride
Originally presented at a State Lead Commission hearing in
Hannibal, Missouri in 1994
All of the fluoride products used in the artificial fluoridation of water are contaminated with lead and arsenic. (Frech received the evidence from Margaret Stasikowski, an official with the EPA, in the form of copies of pages from Water Chemicals Codex, National Academy Press, Washington, DC, 1982. This is confirmed by the 2012 fact sheet produced by NSF International, the private company that regulates fluoridation chemicals.)
The lead contamination is considered the most serious so we'll deal with that one rather than with both substances. Lead is creating the most concern today we'll go into the arsenic angle in a later paper.
So How does the tainting occur? In the matter of the fluosilicates (such as hydrofluosilicic acid); the most commonly used fluoride substances in community water systems, this is the story:
The fluosilicates are the by-products of the phosphate fertilizer industry. In the manufacture of this kind of fertilizer, phosphorus is obtained from phosphate rock, which has to be broken down with sulfuric acid.(1) Fluorine occurs naturally in combination with the phosphates.(2) In these two facts lie the keys to the presence of lead in the fluosilicates.
Step One: Sulfuric acid is prepared by either of two ways, the lead chamber process(3) or the contact method.(4) In its purest form (made by the contact method) it is used in pharmaceuticals; in its lowest grade (produced by the lead chamber process) it is used by the fertilizer industry.(5) It is also frequently recovered for re-use, but this form is too impure for any purpose except the manufacture of fertilizer, for which it is quite suitable.(6)
In the lead chamber process purification is carried out only to the extent of removing substances that could clog the machinery.(7) Of the common metals, only lead is resistant to cold sulfuric acid in concentrations up to 100%. But in hot acid the resistance is up to about 70%.(8) The lead chamber type uses heat (about 600 C) and isn't cooled during the process. That's why a certain amount of lead is leached during this procedure.
If a pure product is needed, the contact method is used, but it's more expensive, more complicated. In the making of fertilizer, however, a pure grade is not necessary. After all, neither fertilizer nor its by-products were intended for human consumption.
Step Two: Fluorine, which is a highly reactive element capable of joining with any other element except oxygen, is able to leach lead from the contaminated sulfuric acid. In the past hydrofluosilicic acid was simply neutralized and discarded. The picking up of lead wouldn't have been a problem. But eventually it was decided that the acid, being already in solution, would be better, simpler to use, and less expensive than sodium fluoride.(9) The lead contamination, apparently, was forgotten (if, indeed, it had ever been noticed.)
Another way in which fluoridation contributes to lead in the water is through its action on whatever lead pipes may still be in existence in older homes. Any lead pipes would be old lead. These are ordinarily covered by a protective coating made by the lead itself which is impervious to diluted acids (as all of them would be in water.) Water acts slowly on lead, forming lead hydroxide, but the action is slight if the water contains carbon dioxide or carbonates or sulfates which interact with lead to form these protective coatings.(11) It's interesting that the lead pipes in Roman aqueducts, 2000 years old, are still in such good shape the numbers and letters engraved on them are clearly legible.(12)
In fluoridated water, though, it's a different matter. Fluorine can and does destroy the protective coatings; it can and does leach lead.
A pediatrics textbook published in 1964 (13) noted that the incidence of lead poisoning had been rising in certain metropolitan areas in Eastern United States. The blame was laid on old lead paint flaking from walls and woodwork. But most of the lead chips were old before 1964; some children chewed them long before then. But a new source of lead had arisen--unnoticed: The fluoridation of water, with lead-contaminated fluoride, a substance also capable of leaching lead from the pipes. Although there were scattered places fluoridating throughout the nation, larger numbers of eastern metropolitan communities were doing so.
Today one in nine children under the age of six is said to have unacceptably high blood lead levels (14) even though lead paint was banned in 1978 (and hadn't been used extensively since the 1950's!) Lead in gasoline has been phased out, and lead solder hasn't been permitted on copper tubing since 1986 (eight years ago.) The EPA says that lead stabilizes in five years. So except for fluoride use, any pipes, whether of lead or lead-soldered, should not now be hazardous. The most revealing statistics, though, are the high blood lead levels in 400,000 newborns each year. Newsweek in its article on lead and the threat to children (15) said that pregnant women passed this toxic substance to their unborn children by eating, drinking, or breathing it. But even though pregnant women do sometimes have weird cravings, it's not likely more than a tiny percentage would be chewing paint chips, nor would a significant number of them be engaged in renovating old houses. The lead is in the water--and in foods and beverages prepared with the water.
The EPA estimates that 10-20% of the lead in children comes from the water.(16) That agency, which knows of the lead contamination of fluoride products, insists the amount is too small to be of regulatory concern. What they have overlooked, though, is that it concentrates in the body tissues, and over time, would add up to quite a lot. In addition, it becomes concentrated in products processed with the water. The 10-20% directly from the water can easily become three or four times as much.
The EPA lists as health problems caused by lead the following conditions: Interference with formation of red blood cells, anemia, kidney damage, impaired reproductive function, interference with Vitamin D metabolism, impaired cognitive performance, delayed neurological and physical development, elevations in blood pressure.(17) The agency also suggests lead my be a carcinogen, possibly causing kidney tumors and lymphocytic leukemia.(18) Furthermore, it's a known scientific fact that lead poisons the bone marrow.(19) Surely, then, it would be prudent to avoid even "a little bit of lead," assuming that's all fluoridation contributes.
But the evidence shows it's much more than that. Let us tell you a tale of two cities--Tacoma, Washington, and Thurmont, Maryland. Both of them saw significant decline in lead levels only six months after fluoridation was stopped. (In Tacoma, that was due to equipment problems, in Thurmont, it was a temporary ban by the city council.) Tacoma registered a drop of nearly 50% (20); in Thurmont it was 78%.(21) To the best of our knowledge, no other explanations were offered. In Thurmont the ban is now permanent.(22) In Tacoma, we're told, a battle continues over whether or not to resume fluoridating.
We have more points to add. As we've already mentioned, the EPA says that lead may be implicated in causing leukemia. A booklet published by the Leukemia Society in 1987 noted that chemicals which damage the bone marrow can cause leukemia. The Book of Popular Science, 1974, pointed out that bone marrow is poisoned by lead. (23) Are we to believe, then, nothing is wrong with putting a little bit of lead into the water (from which it will also enter, more concentrated, food and beverages prepared with the water?)
The EPA permits lead-contaminated fluorides to be added; they do not require it. Thus, any community, anywhere, could halt the program any time, with the consent of its citizens, who surely would consent if given the facts.
Lead-tainted fluorides are waste products mainly of the aluminum and phosphate fertilizer industries, largely from US companies. But we've learned that in some communities sodium fluoride imported from Japan or sodium silicofluoride from Belgium are used. Neither of these nations fluoridates its own water supplies. (24) (Don't you get the feeling we're in the same category as a Third World country becoming a toxic waste dump for others?)
In California recently the Attorney General and two environmental groups have sued the makers of brass pumps containing lead which could contaminate water from wells. (24) But who is suing companies who sell lead-tainted products to cities for their fluoridation purposes? Who is suing the EPA for allowing it? Where are the lawsuits against the US Public Health Service and the Centers for Disease Control for adamantly promoting it?
In conclusion, there's still the matter of lead being leached from old pipes. Anyone who argues that fuoridation had nothing to do with it will have to explain those well-preserved lead pipes from more than 2000 years ago in unfluoridated Roman water.
REFERENCES:
(1) Book of Popular Science, Grolier, Inc., 1974, Vol.7, 63.
(2) Ibid.
(3) Book of Popular Science, Vol. 3, 167-169.
(4) Book of Popular Science, Vol. 7, 62.
(5) Encyclopedia Brittanica, 1957, Vol.21, 545.
(6) Ibid., 545.
(7) Ibid., 546.
(8) Ibid., 545A
(9) Book of Popular Science, Vol. 7, 63-64.
(10) Encyclopedia Americana, 1945, Vol. 1, 456.
(11) Encyclopedia Brittanica, 1957, Vol.1, 715.
(12) Book of Popular Science, Vol. 3, 39.
(13) Textbook of Pediatrics, Nelson WS, MD, WB Saunders Co., Philadelphia,London, 1964, 1557.
(14) Newsweek, "Lead and Your Kids," July 15, 1991.
(15) Ibid.
(16) Ibid.
(17) Federal Register, Bol. 56, No. 110, June 7, 1991, 264.
(18) Ibid., 265-70.
(19) Book of Popular Science, Vol. 3, 74.
(20) Letter from the Tacoma Public Utilities, Dec. 2, 1992.
(21) Fluoride Report, newsletter, April, 1994, 5.
(22) Ibid.
(23) Book of Popular Science, Vol. 3,74.
(24) Letter from Tacoma Public Utilities, May 22, 1992.
(25) Kansas City STAR, April 19, 1994.
Home | Environment
Thursday, February 04, 2010
Expert: Fluoride Linked to Stillbirths & Miscarriages.
World-renowned Professor (Dr) A K Susheela presently visiting Australia Warns on Fluoride Link to Miscarriages, Stillbirths and Retardation.
According to the Australian Institute of Health and Welfare, there were more than 2,900 perinatal deaths in Australia. In addition, each year many more parents experience the loss of a baby early in the pregnancy. Sadly, one in every four pregnancies ends in a loss from miscarriage and stillbirth. http://www.sandsvic.org.au
Professor (Dr) A.K. Susheela who is visiting Australia says long-term studies show fluoride is a serious threat to public health. It has not only has been linked to increased rates of stillbirth and miscarriages among Indian populations exposed to fluoride in water, but poses a serious risk of birth abnormalities including mental retardation.
Professor (Dr) A.K. Susheela of India, who has researched fluoride for more than 20 years, has listed a range of health issues linked to fluoride ingestion, she has more than 80 scientific publications in leading Western and Indian Journals.
Dr Susheela says the studies have shown fluoride destroys muscle structure and muscle function, depletes muscle energy; destroys the bone and teeth, red blood cells, blood vessels and the lining of the stomach and intestine.
“We now have ample scientific evidence to substantiate the fact that ingestion of fluoride prevents biosynthesis of hemoglobin leading to anemia in human beings. We have studied this problem in pregnant mothers. The danger of anemia in pregnancy is that it would lead to abnormalities in the development of the embryo/foetus,’’ says Dr Susheela.
“Studies also indicate it harms fetuses carried by pregnant women and may cause abortions and stillbirths.”
Dr Susheela says results of reducing fluoride in water include reduced abortions and stillbirths as fluoride is known to induce calcification of blood vessels of the fetus.
“It has been shown that when fluoride-contaminated water (>1.0 mg/L) and dental products are consumed or used by pregnant mothers, it destroys the thyroid gland of the embryo/foetus,’’ says Dr Susheela.
“When children with dental fluorosis were investigated, there were severe derangements in the thyroid hormone levels T3 (Triiodothyronine) and T4 (Tetraiodothyronine) along with Thyroid Stimulating Hormone (TSH). Such children suffer from sub-clinical hypothyroidism, T3 toxicosis, low T3 syndrome, primary hypothyroidism and disturbed hormone conversion.
“Thyroid hormone defects results in mental retardation (low IQ) in children, deaf mutism, knock-knee, bow-leg and cretinism.”
Dr Susheela says the results of the studies on women ingesting fluoride were reported at the 27th Conference of the International Society for Fluoride Research, Beijing, China, Oct. 2007. The study is: Fluoride Ingestion and Health Hazards with Focus on Anaemia in Pregnancy and low birth weight babies: Guidelines for rectification: Susheela A.K, Mondal NK, Rashmi G, Ganesh Kamala, Bhasin Shammi, Gupta Gunjan.
“The evidences we have provided on the harmful effects of fluoride on human health, unequivocally prove the point that fluoride is disease-causing and not disease preventing. Our scientific publications would not only stand the test of time but also before any judiciary in any part of the world, as it is based on biomedical research of highest standards,’’ says Dr Susheela.
“With a high degree of scientific accuracy and certainty, I conclude that artificial fluoridation of drinking water is an ineffective means of improving dental health, and is in fact quite dangerous to those forced to consume it.”
In regard to claims by Australian health authorities that water fluoridation strengthens teeth surfaces and prevents dental caries (cavities), Dr Susheela’s research indicates the opposite.
“The findings emerging from the studies on both tooth and bone have made significant contributions to negate the belief that fluoride is good for teeth. Instead, fluoride does more damage to teeth than any good and prolonged use of fluoride leads to a decrease in the organic matrix of rabbit tooth but dermatan sulphate content is increased,” says Dr Susheela.
Dr Susheela says India launched a Technology Mission on “Safe Drinking Water” in 1986 (now re-designated after the late Prime Minister Sh. Rajiv Gandhi, as Rajiv Gandhi National Drinking Water Mission) in which every drinking water source in the rural sector is checked for water quality, especially for fluoride.
“People are keen to defluoridate the water due to gastrointestinal problems and are adopting indigenous technology for obtaining potable (defluoridated) water,’’ she said.
“Substantial scientific evidence has emerged in recent years from studies conducted on human subjects and hospital patients and those residing in areas/regions/villages where fluoride content ranges in drinking water from 0.5 ppm to 38.5 ppm,’’ said Dr Susheela.
She said the findings came after 20 years of follow-up studies that have now been concluded. The findings also included:
Gastro-intestinal complaints are the earliest manifestations of fluoride toxicity and fluorosis. The most common complaints include (1) headache; (2) nausea (loss of appetite); (3) pain in the stomach; (4) gas formation in the stomach (bloated feeling); (5) constipation; (6) intermittent fermentation diarrhea.
As a result of the above, gastro intestinal complaints in endemic areas are considered as early warning signs of the fluoride toxicity and are used as a diagnostic parameter under field based conditions. See report: Fluoride Ingestion and its Correlation with Gastrointestinal Discomfort.
Fluoride in circulation has an affinity to get deposited in tissues rich in calcium although some amount is excreted. In children, the fluoride ingested has adverse effects on kidney function. See Fluoride: Too Much Can Cripple You.
Significant findings emerged from studies on human patients with skeletal fluorosis. Degenerative changes were well defined at the ultrastructural level in the fluoresced muscle obtained from patients with skeletal fluorosis.
Fluoride inhibits antibody formation in rabbits and may occur in human subjects as well.
Fluoride inhibits protein and DNA synthesis in cultured lymphocytes.
“I am absolutely certain that large numbers of persons all around the world are suffering from fluoride toxicity, to one degree or other,’’ said Dr Susheela.
Dr Susheela is executive director, of the Fluorosis Research and Rural Development Foundation in India, Professor of Anatomy (Histocytochemistry) and Chief of the Fluoride and Fluorosis Research Laboratories, at the All India Institute of Medical Sciences, New Delhi.
Her post-doctoral training was under Lord Walton (Neurologist) of U.K. and Dr. Ade Milhorut of the Muscle Institute, New York, USA, (no longer exists).
Professor Susheela has written six doctorate papers in more than 20 years of scientific research in the field of fluoride toxicity and fluorosis.
Other academic positions:
Visiting Professor at the Allan Hancock Fn. at the University of Southern California during 1974-76.
Fellow of the Indian Academy of Sciences and the National Academy of Medical Sciences. She has held Faculty positions at the same Institute since 1969
Winner of the prestigious Ran Baxy Research Foundation Award for outstanding research in medical sciences.
Teacher of medical students of all levels and carrying out research and guiding research in the field of muscle diseases and Fluorosis for more than 20 years.
An Ashoka Fellow recognised by the Ministry of Science and Technology, Government of India.
Dr Susheela is a Visiting Professor at the Allan Hancock Fn. at the University of Southern California during 1974-76.
She is a Fellow of the Indian Academy of Sciences and the National Academy of Medical Sciences.
She has won the prestigious Ran Baxy Research Foundation Award (Cash Prize) for outstanding research in medical sciences.
She has been involved in teaching medical students of all levels and carrying out research and guiding research in the field of muscle diseases and Fluorosis for more than 20 years.
She is currently the executive director of Fluorosis Research and Rural Development Foundation Saransh.
She is also an Ashoka Fellow recognised by the Ministry of Science and Technology, Government of India & Registered under Foreign Contribution (Regulation) Act 1976 under Section 6 (1) Permanent Eligibility No. 2 3 1 6 6 0 0 1
Numerous funding organizations have been calling upon her during that time for evaluating projects for funding in the field of Biomedical Research.
She has been a member of several National Committees since early 1970s, where issues related to Fluoride are debated and discussed.
She has convened an International Conference on Fluoride and Fluorosis research in India in 1983. I edited a book on Fluoride Toxicity during 1985.
She has been invited to speak on my experience in the field of Fluoride Research at various scientific meetings held in: (1) Japan; (2) Denmark; (3) Switzerland; (4) Kenya; (5) U.S.A. (several times); and (6) Hungary.
She has guided 6 PhD theses in the subject of Fluoride and Health Hazards. A 7th Project is ongoing.
Professor (Dr) A K Susheela has more than 80 scientific publications in leading Western and Indian Journals.
Professor (Dr) A K Susheela Departs Australia February 9TH 2010
Contact Phones
Professor (Dr) A K Susheela Adelaide 8 7001 2259
Dr Andrew Harms Adelaide Bus. 8 8239 1711 – Prvt. 8 8268 7977
Anthony Halpin - Welcome Australia - 7 55775 971 mob 0414259562
Professor (Dr) A K Susheela is available for Interviews for Radio, News Paper and Television untill February 8th 2010.
PS. Intending and Expectant Mothers urgently require to read or hear Professor A K Susheela speak on what may well save their Infants life or quality of life.
http://www.truthmovementaustralia.com.au/2010/02/world-renowned-professor-dr-a-k-susheela-presently-visiting-australia/
Saturday, October 17, 2009
Pres Obama's Science Czar on Fluoridation
The following is from a book Holdren co-wrote in 1977, "Eco Science" with Paul R Ehrlich and Anne H. Ehrlich:
(page 575 "Direct Assaults on Well-Being")
Fluorides
Fluoridation of public water supplies for partial protection against tooth decay is an emotion-charged subject. The scientific evidence supporting the efficacy and safety of mass fluoridation at the generally recommended level of 1 milligram per liter of water (1 ppm) is not as good as it ought to be, but neither is there convincing evidence that it is harmful. although there are certainly some cranks in the antifluoridation school, there are also some serious and competent scientists and responsible laymen who have been unmercifully abused because of the position they have taken on this controversial issue. Perhaps the strongest argument against mass fluoridation of drinking water is that individual treatment with fluoride is simple and can be supplied cheaply on public funds for those wishing to use it.
There is no question that fluoride is toxic in high concentrations, and fluoride pollution from a variety of industrial activities is a significant problem. Fluorides are discharged into the air from steel, aluminum, phosphate, pottery, glass, and brick works. These sources together emit perhaps 150,000 tons of hydrogen fluoride annually, and the same activities emit some tens of thousands of tons of fluorides annually into waterways. Intentional addition of fluorides in fluoridation programs makes a modest but not negligible contribution of perhaps 20,000 tons per year to the human-caused fluoride inputs to the environment.
The main problems encountered in trying to evaluate health threats from fluoride pollution are familiar ones: the boundary between safe and unsafe levels is a fuzzy one; some individuals are more sensitive than others; and fluorides may act in combination with other pollutants to do damage at concentrations where the fluorides alone would not be harmful.
Fluorides have been shown to concentrate in food chains, and evidence suggesting a potential for significant ecological effects is accumulating. Harm to terrestrial plants and algae at concentrations encountered in polluted environments has been documented, and the ability of certain plants and microorganisms to synthesize particularly toxic organic fluorides has been demonstrated. The toxicity of inorganic and organic fluorides to soil organisms is essentially unexplored and is a potential danger point.
http://www.scribd.com/doc/18564724/Eco-Science-One
Saturday, October 10, 2009
Dentists Continue to Ignore Low-Income Children
At least 50 percent of the average dentist's income now comes from elective cosmetic procedures. If dentists spent less time giving wealthier Americans artificially whitened grins, they would have more time to treat the serious oral disease that plagues millions of poorer Americans.
In 2000, the US Surgeon General revealed the ugly truth - that the low-incomed and minorities aren't getting the dental care wealthier Americans take for granted.
Many reports, meetings, symposiums, studies, conferences and years later, nothing has changed. Representative Dennis Kucinich held his fourth hearing on this issue on October 9, 2009 as chairman of the Domestic policy Subcommittee of the Oversight and Government Reform Committee.
In his opening statement, Kucinich said:
"On February 25, 2007 Deamonte Driver, a twelve-year-old boy from Prince George's County, Maryland died from a brain infection caused by untreated tooth decay. Deamonte's tragic death could have been easily prevented by access to dental care - dental care he was entitled to.”
About two dozen dentists contacted refused to treat Deamonte Driver because he was on Medicaid.
"At our first hearing in May 2007, we learned that Deamonte Driver was not the only Maryland youth who wasn't receiving dental care to which he was entitled by Medicaid, said Kucinich. His investigation found that approximately 11,000 Maryland children on Medicaid had not seen a dentist in at least four years.
Representative Elijah Cummings, a member of the committee, said he grew up without dental care and believed his constant tooth decay pain was normal. He doesn't want any kids to have to endure that, especially when it's easily treated, he said.
Cummings said he has lots of kids from fluoridated Baltimore going to the University of Maryland for dental care, partially because of Deamonte Driver's death because "I want them to grow up," he said. Many of them have such bad tooth infections that traveled to and infected their eyes - which happens before the infections reaches the brain which killed Deamonte Driver, said Cummings.
Kucinich said, “A GAO report (2007), the first of its kind since 2000, revealed that millions of Medicaid-enrolled children suffer from tooth decay - almost one-third of the total Medicaid population. Medicaid children are roughly twice as likely as privately-insured chidren to suffer from tooth decay. Moreover, this pattern has persisted for years; very little had been done to improve access to and utilization of dental services. In a sense, the problem of tooth decay is getting worse because the rate of decay in the teeth of children aged two through five has increased in recent years."
Today, there are millions of children just like Deamonte Driver - entitled to dental care but not getting it, said Kucinich
Wednesday, June 24, 2009
Fluoride as a factor in premature aging
Volume 50 Suppl 1, 2004, Pages 9-13 by Machoy-Mokrzyńska, et al.
The use of fluorine compounds in various areas of medicine, particularly in dentistry, as well as in agriculture and industry became very popular in the second half of the 20th century.
Fluorine owed this widespread acceptance to observations that its compounds stimulate ossification processes and reduce the prevalence of caries. Unfortunately, growing expectations overshadowed the truth regarding interactions of fluoride on the molecular level.
The fact was often ignored that fluoride is toxic, even though laboratory data stood for a careful approach to the benefits of usage. Excessive exposure to fluoride may lead to acute poisoning, hyperemia, cerebral edema, and degeneration of the liver and kidneys. Acute intoxication through the airways produces coughing, choking, and chills, followed by fever and pulmonary edema. Concentrated solutions of fluorine compounds produce difficult to heal necrotic lesions.
In spite of these dramatic symptoms, acute intoxications are relatively rare; the more common finding is chronic intoxication attributable to the universal presence of fluorine compounds in the environment.
The first noticeable signs of excessive exposure to fluoride in contaminated water, air, and food products include discolorations of the enamel. Dental fluorosis during tooth growth and loss of dentition in adulthood are two consequences of chronic intoxication with fluorine compounds. Abnormalities in mineralization processes affect by and large the osteoarticular system and are associated with changes in the density and structure of the bone presenting as irregular mineralization of the osteoid.
Fluorine compounds also act on the organic part of supporting tissues, including collagen and other proteins, and on cells of the connective tissue. These interactions reduce the content of collagen proteins, modify the structure and regularity of collagen fibers, and induce mineralization of collagen.
Interactions with cells produce transient activation of osteoblasts, stimulate fibroblasts to produce collagenase, and trigger toxic reactions in osteocytes and chondrocytes of trabecular bone.
Growing deformations of the skeleton reduce mobility and result in permanent crippling of the patient. Fluoride increases the mass of non-collagen proteins such as proteoglycans and glucosaminoglycans, accelerating skin aging even though protein biosynthesis is generally suppressed. The final outcome includes progressive vascular lesions and disorders of energy metabolism in muscles.
In conclusions, the use of fluoride, particularly by dentists and pediatricians, must be controlled and adapted to individual needs. It is worth remembering that fluoride: is the cause of disability due to bone deformations and abnormalities in the musculoskeletal system; reduces the incidence of caries but do not protect against tooth loss; exerts an adverse effect of metabolic processes in the skin; accelerates calcification of vessels and thus reduces their elasticity; inhibits bioenergetic reactions, in particular oxidative phosphorylation, reducing physical activity of muscles. These findings suggest that fluorine may be yet another factor in accelerated aging and revive the dispute started more than two and half thousand years ago whether aging is a physiologic or pathologic process. The understanding of factors modifying the process of aging is the basis for preventive measures aimed at extending life and maintaining full psychosocial activity.
http://www.scopus.com.ezproxy.uvm.edu/record/display.url?eid=2-s2.0-33750590946&view=basic&origin=inward&txGid=-2NCY6kDRHKLEbS0zrxGxel%3a6
Friday, June 19, 2009
Still Waiting for Promised NIH Cancer Study
http://www.FluorideAlert.Org
Still waiting for Chester "Godot" Douglass
June 18, 2009 -- It has now been over three years since Professor Chester Douglass of the Harvard Dental School trashed Bassin's (his own student!)[published and peer-reviewed] study associating fluoride exposure to osteosarcoma [bone cancer], with the promise that his paper (to be co-authored by Robert Hoover and Gary Whitford) - to be published in the Summer of 2006 - would refute her findings. We've been waiting and waiting, but still no paper has appeared. Meanwhile, proponents of fluoridation such as
1) Dr. Peter Cooney, chief dental officer of Canada
2) the Australian National Health and Medical Research Council (NHMRC, 2007) and
3) the South Central Strategic Health Authority in the UK,
continue to cite Douglass' letter as if it were a fully fledged research article scientifically rebutting Bassin's findings. So much for authorities who insist upon "peer-reviewed and published" science!
For those new to the Chester Douglass scandal, here is a short time line.
1977. In the wake of the furor generated over the research by Drs. Dean Burke and John Yiamiouyannis showing cancer rates had increased in 10 American cities after fluoridation had begun in the 1950's, the US Congress ordered the National Toxicology Program (NTP) to do animal studies investigating a possible connection between fluoride and cancer.
1990. After a delay of 13 years the NTP finally reported back on the animal-cancer study. They found a number of cancers - all but the osteosarcomas were subjectively downgraded by a government review body, much to the disgust of Dr. William Marcus, who was the chief toxicologist for EPA's Office of Drinking Water. Marcus was fired by the EPA for being too noisy about the matter. Even so, the finding of a dose related increase in osteosarcomas in the male rats, created quite a stir in the media and in dental circles.
1991. Very quickly an article was published in the Journal of the American Dental Association (JADA) co-authored by Douglass. In this study by McGuire et al., the authors reported that they had found no evidence of an association between fluoridation and osteosarcoma and even suggested the opposite: that fluoridation was actually protective against osteosarcoma. This article was given lavish treatment by JADA. The beautiful cover, featuring a huge glass of water with a lake and mountain in the background, carried the statement: "Fluoride and Cancer. Study points to protection."
McGuire et al. made it clear in the text of this article that a positive finding of a relationship between fluoridation with osteosarcoma would have serious consequences for the fluoridation program, a possibility they were clearly worried about, as the following quotes make clear:
"An incorrect inference implicating systemic fluoride carcinogenicity and its removal from our water systems would be detrimental to the oral health of most Americans, particularly those who cannot afford to pay for increasingly expensive restorative dental care" (p.39)
"Because of its strengthening action, fluoride has been widely accepted as the responsible agent for the dramatic declines in the tooth decay rates of U.S. children and adolescents." ( pp.39-40)
"A disruption in the delivery of fluoride through municipal water systems would increase decay rates over time." (p.40) (The authors cited the dubious Antigo study to support this claim, PC)
"Linking of fluoride ingestion and cancer initiation could result in a large-scale defluoridation of municipal water systems under the Delaney clause." (p.40)
The authors concluded, based on this small study, that there was no relationship between fluoridation and osteosarcoma, and even suggested that:
"fluoridation at recommended levels may provide a protective effect against the formation of osteosarcoma" (p.44)
This allowed Douglass and his co-authors to reach the final conclusion that they clearly wanted out of this study:
"Given present knowledge, every effort should be made to continue the practice of fluoridating community water supplies." (p. 45)
1992. The NIEHS chose Chester Douglass to undertake further research to investigate the possible relationship between fluoridation and osteosarcoma. It is incredible, that such a sensitive research effort should have been given to a dental professor, let alone one who had clearly articulated how serious it would be for the fluoridation program should a positive finding be found.
Over the next 10 years (or more), this funding from NIEHS kept on being renewed, despite the fact that, apart from one abstract, Douglass had published nothing on this research. A total of over a million dollars flowed into Douglass' Harvard coffers for this work. These are really patient people at NIEHS!
2001. Then in 2001, Elise Bassin (Douglass' graduate student) successfully defended her PhD thesis. In this, she reported, in what she herself called a robust study, that young boys exposed to fluoridated water in their 6th, 7th and 8th years had a 5-7 fold increased risk of succumbing to osteosarcoma by the age of 20.
2002. In a presentation that Douglass gave to the British Fluoridation Society (BFS), he assured the members of the BFS that his work had found no linkage between fluoridation and osteosarcoma. He somehow failed to mention that his graduate student had found the very opposite to be the case. The BFS reported Douglass' claim in their pamphlet, and used it in their continued promotion of fluoridation. There was no mention of Bassin. The BFS pamphlet went unchanged, long after the existence of Bassin's study had been revealed.
2004. Douglass sent a letter to the National Research Council (NRC) fluoride review panel talking about his research (NRC, 2006). Again he claimed that his work had found no relationship between fluoridation and osteosarcoma. Again he made no mention of Bassin's work, but this time he gave her thesis as a footnote. Any casual reader would have reasonably assumed that Bassin's thesis supported Douglass' claim. Douglass sent a similar letter to his funders at NIH.
2005. In January, acting on a tip-off from Myron Coplan, Michael Connett visited one of the libraries at Harvard and located Bassin's thesis in the rare books section. He was able to photocopy the chapter dealing with osteosarcoma. FAN sent this chapter both to the NRC review panel and to the Environmental Working Group (EWG) in Washington, DC. EWG called for an NIH enquiry into Douglass' behavior and released the story to the media claiming that Douglass was covering-up this important finding. They also mentioned that Douglass was a consultant for Colgate (he edited their monthly bulletin, "Colgate Oral Care Report'). This triggered wide coverage in the media including an important article in the Wall Street Journal (Begley 2005). However, the NIEHS meekly handed over the investigation to Harvard.
2006. One year later, Harvard exonerated Douglass of "deliberately" covering-up Bassin's work. A video clip from Fox News showing Douglass holding up the Harvard "get out of jail free" card, can be accessed at http://www.youtube.com/watch?v=5xR47jUqX9g&feature=channel_page
In March, the National Research Council fluoride report was released and stated:
"A relatively large hospital-based case-control study of osteosarcoma and fluoride exposure is under way (Douglass 2004) and is expected to be reported in the summer of 2006 (C. Douglass, Harvard School of Dental Medicine, personal communication, January 3, 2006)."
Ref: http://www.nap.edu/openbook.php?isbn=030910128X&page=329
In May, Bassin, with three other Harvard researchers, published her findings in the Journal Cancer Causes and Control (Bassin et al., 2006). In the same issue, the editors published Douglass' effort to discount Bassin's findings and his promise that his "larger" study would show that Bassin's thesis didn't hold (Douglass & Joshipura, 2006).
The summer of 2006 comes and goes. No published paper from Douglass.
2007. The summer of 2007 comes and goes. Still no published paper from Douglass.
2008. The summer of 2008 comes and goes. Still no published paper from Douglass.
2009. June 18. The first day of summer is just three days away and still no published paper from Douglass.
Meanwhile, those who have examined Douglass' proposed methodology have concluded that there is no way that it can actually disprove Bassin's thesis because the measure of exposure they are using is bone fluoride levels - and there is no way that this can test Bassin's thesis since this is based on which year the young boys are exposed to fluoride. The bone level will only give the cumulative exposure after 20 years . Moreover, another extraordinary weakness of this matched case and control study, is that the controls are young men with other forms of bone cancer (other than osteosarcoma). Clearly, if fluoride was to also cause any these cancers - as it well might - that would completely eliminate any significance of this study!
With such huge weaknesses to this study it is quite conceivable that no reputable journal will touch it. So standby for another cover issue of JADA!
Meanwhile, some believe that Douglass was a "stooge" in all this, and that the person really pulling the strings was Dr. Robert Hoover at the National Cancer Institute. It was Hoover who had done battle with Burke and Yiamiouyiannis in the 1970s. It was also Hoover who conveniently found a reason to discount his own findings of an increase in osteosarcoma in young men living in fluoridated counties covered by the SEER registry (Hoover et al., 1991). Hoover was also the co-author of the paper delivered by Douglass to the BFS in 2002. Hoover was aware of Bassin's findings but apparently went along with Douglass in not revealing them in this paper. Moreover, Hoover has been a part of the Douglass study from the very beginning. Currently, he is listed as the Principle Investigator of the Douglass study, and the current funding appears to all be coming directly from "intramural" funding at NCI. NIEHS funding ran out several years ago.
Paul Connett, PhD, Executive Director Fluoride Action Network
http://www.FluorideAction.Net
References
Bassin EB, Wypij D, Davis RB, Mittleman MA. (2006). Age-specific Fluoride Exposure in Drinking Water and Osteosarcoma (United States). Cancer Causes and Control 17: 421-8.
Begley S. 2005. Fluoridation, cancer: did researchers ask the right questions? Wall Street Journal. July 22. p B1. Available at http://www.fluoridealert.org/media/2005h.html
Hoover RN, et al. 1991. Time trends for bone and joint cancers and osteosarcomas in the Surveillance, Epidemiology and End Results (SEER) Program. National Cancer Institute In: DHHS (1991) Review of Fluoride: Benefits and Risks Report of the Ad Hoc Committee on Fluoride of the Committee to Coordinate Environmental Health and Related Programs US Public Health Service. Appendices E & F.
Douglass CW, Joshipura K . 2006. Caution needed in fluoride and osteosarcoma study. Cancer Causes & Control 17:481-2.
McGuire SM, Vanable ED, McGuire MH, Buckwalter JA, Douglass CW. 1991. Is there a link between fluoridated water and osteosarcoma? J Am Dent Assoc 122:39-45.
National Research Council. 2006. Fluoride in drinking water: a scientific review of EPA's standards. National Academies Press, Washington D.C. Report available to read and search at http://www.nap.edu/catalog.php?record_id=11571
###
Tuesday, February 10, 2009
Dentists Neglect Poor Kids 364 Days a Year
Theoretically, government sponsored dental care, under Medicaid, is free for children living in poverty. Sadly, “nationally, only about 10% of all dentists accept Medicaid patients,” according to a report by the Children’s Defense Fund. And over 108 million Americans lack dental insurance, according to the American Dental Association (ADA).
According to American Family Physician, more than three out of four dentists do not treat the uninsured.
Dentists’ income is derived mostly from private insurance and patient’s pockets, says the ADA. Dentists aren’t hurting. Rated among the highest-paying jobs by bizjounrnals.com, the top ten money-making cities for dentists range from Charlotte ($195,540) to Omaha ($176,830).
Meanwhile, 6.5 million children aged 2 through 18 in Medicaid have untreated tooth decay, according to the Government Accounting Office, often forcing them to get expensive hospital emergency care when the decay spreads, the pain is unbearable, costing the taxpayers thousands of dollars to treat. Some have died from untreated tooth decay.
The logical solution is to require dentists to treat more low-income Americans – either for free, for what Medicaid offers, or on a sliding scale. But dentists don't like mandates – well for themselves anyway. They do like fluoridation mandates, though. Dentists prefer to treat the water rather than the individual.
Dentists didn’t make it on their own. Government subsidizes dental tuition and dental schools and regulates their licenses. Dentists need to give back or allow other viable groups to fill the void.
Dental Health Aide Therapists are currently repairing and pulling teeth in rural Alaska where no dentist would live or work. The American Dental Association and the Alaska Dental Society spent $1 million on a lawsuit trying unsuccessfully to stop them.
Organized dentistry now lobbies against solo-practicing dental hygienists, denturists (false teeth makers) from working directly with the public and Dental Therapists in any other state.
Organized dentistry uses its credentials, political clout and deep pockets filled up with corporate cash to lobby our legislators to pass laws that benefit themselves while an oral health epidemic occurs on their watch. See: http://tinyurl.com/PoliticalClout
Unfortunately, organized dentistry uses GKAS day to convince legislators to give them more money to treat Medicaid patients and to promote water fluoridation - a tax-wasting scientfically failed method of reducing tooth decay.
Although the District of Columbia is 100% fluoridated and has the nation’s highest density of dentists, 44% of children in a typical elementary school have cavities in primary teeth – 34% is unfilled. Just 30 dentists (2.5 percent) are Medicaid billing dentists with at least one paid claim, according to “Issue Brief: Oral Health Is Critical to the School Readiness of Children in Washington, DC.”
The Raleigh News & Observer reports, that the ability of patients to pay and the lack of dentists have negatively affected access to dental care and the problem likely will get worse in North Carolina, which is 88% fluoridated About 200 emergency department dental cases occur daily throughout the state, they report.
“Nearly half of [60% fluoridated] Massachusetts children experience tooth decay before third grade…’We struggled over the last several years, particularly in part of the district I represent, which is Cape Cod, to even get any dentists to accept Medicaid patients,’" reports the State House News Service on February 2000.
Rochester, NY, is fluoridated: "Hundreds of local children are ending up in the operation room because of cavities that could have been prevented...The Eastman Dental Center sees more than 300 of these kinds of cases a year. In [fluoridated] Buffalo, 700 plus cases, and thousands state wide [NYS is 73% fluoridated],” according to NBC News
Although Kentucky is 99.8% fluoridated, “Last year, four area hospitals had 1,500 visits from patients seeking help with tooth pain…About a third of those cases involved children and teens, reported the Messenger-Inquirer on March 8, 2008 .
“State officials have found that 4,500 Kentucky 3-year-olds have dental pain each day, McKee said. Nearly half of preschoolers have untreated tooth decay,” they report.
Minnesota is 98% fluoridated: "Last year, there were 22,000 emergency-room visits for dental problems." reported the Star Tribune on January 22, 2009.
In West Virginia, 92% fluoridated, "It's especially difficult to find an oral surgeon who accepts Medicaid patients in Southern West Virginia where dental health problems are rampant,” reports the Charleston Gazette on January 11, 2009.
New York State Department of Health statistics illustrate fluoridation’s inability to equalize cavity rates between low and high socio-economic-status groups, and that fluoridation and tooth decay rates are not inversely related See chart: http://www.freewebs.com/fluoridation/chart.htm
Connecticut mandates fluoridation. Yet 48% of 4-year-olds suffer
untreated cavities partially because 85% of dentists won’t or can’t treat
patients with low-paying government-sponsored insurance, according to Elements of effective action to improve oral health & access to dental care for Connecticut’s children & families.
More evidence of dental needs despite fluoridation http://www.FluorideNews.blogspot.com
What is needed is to train Dental Therapists in this country. The ones working in Alaska were trained for two or three years in New Zealand. They drill, fill and pull teeth as effectively as dentists and have been working for decades in developed countries. As a result, children in New Zealand have no unfilled cavities because they are seen in school by Dental Therapists every year and rural Alaskans aren't pulling their own teeth. Organized dentistry is at odds with public health dentists on this. The former doesn't like any groups infringing upon its lucrative monopoly - even if it means Americans must suffer from dental neglect 364 days a year.
Monday, January 26, 2009
Another Embarrassing Fluoridation Birthday
So what’s happening today?
Ingested fluoride is not stopping cavities and is causing dental fluorosis – white spotted, yellow, brown and/or pitted teeth.
For example, according to data presented at the 2006 American Association for Dental Research’s annual meeting:
-- Researchers following children from birth found almost twice the amount of dental fluorosis in children drinking fluoridated water but no less decay than children drinking non-fluoridated water. (1)
-- No significant relationship was found between fluoride exposure and cavities in permanent teeth of 6 to 9-year-old's in Campeche, Mexico(2). Previously, it was reported that 56% of this group has dental fluorosis.(3)
-- A U.S. national study reports cavity prevalence increased by 15% in 2 to 5-year-olds, in surveys taken between 1988-1994 and 1999-2002,(4) The Centers for Disease Control report that 1/3 to 1/2 of U.S. schoolchildren display dental fluorosis.(4a)
-- Breastfed US children have less cavities than non-breastfed.(5) even though breast milk has 250 times less fluoride than dentists claim is optimal to reduce cavities. Breastfeeding is also protective against fluorosis.(5a)
-- Although New York City fluoridated in 1965, NYC children of Chinese descent suffer a much higher prevalence and severity of tooth decay than the national average (63% vs 38%). (6)
-- About half of 7 to14-year-old children from fluoridated Rochester, NY, have cavities. Latino children had significantly higher caries experience than African-American and Caucasian children, thus indicating that disparities exist among different ethnic groups even when the water is fluoridated.(7)
Grand Rapids children are showing high rates of tooth decay and dental fluorosis. According to the Grand Rapids Press, one pediatric dentist said in 2007 “…we see children under the age of 2 with active decay…Rather than just a few cavities, we're seeing a lot of cavities. It's not unusual to see a child with 8 to 10 cavities."
Detroit Michigan is also fluoridated.
A study shows that, although fluoridated tap water is the most consumed item, 83% of low-income Detroit African-American adults, 14-years-old and over, have severe tooth decay. Almost all Detroit’s African-American 5-year-olds have cavities, most of them go unfilled.
In fact, there are cavity crises in all fluoridated cities and states (See: http://www.FluorideNews.blogspot.com ) because 80% of dentists refuse Medicaid patients and over 108 million Americans lack dental insurance.
Our food supply has become fluoride-polluted. The USDA had to create a database of fluoride content of some foods to help Americans tally their daily fluoride intake to avoid dental fluorosis and the National Institutes of Health just granted $3 million to a researcher to find out why children are getting dental fluorosis.
It makes better fiscal sense to stop adding fluoride chemicals into the public water supply instead of feeding the research community millions of dollars to tell us we are over-fluoridating our children.
These studies add to a growing body of evidence pointing to fluoride's ineffectiveness and lack of safety: See: http://www.fluoridealert.org/health/teeth/caries/fluoridation.html#top
Take action to end fluoridation here: http://congress.FluorideAction.net
References:
(1) AADR 35th Annual Meeting in Orlando:
Abstract # 0153 - Dental caries and fluorosis in relation to water fluoride levels, I Hong, SM Levy, J Warren, B Broffitt http://iadr.confex.com/iadr/2006Orld/techprogram/abstract_73811.htm
(2) AADR 35th Annual Meeting in Orlando:
Abstract # 1995 - Cross-Sectional analysis of dental caries in children with mixed dentition, AA Vallejos-Sanchez, CE Mendina-Solis, JF Casanova-Rosado, G Maupome, AJ Casanova-Rosado, M Minaya-Sanchez http://iadr.confex.com/iadr/2006Orld/techprogram/abstract_73452.htm
(3) Prevalence of dental fluorosis and additional sources of exposure to fluoride as risk factors to dental fluorosis in schoolchildren of Campeche, Mexico, PR Beltran-Valladares, H Cocom-Tun, JF Casanova-Rosado, AA Vallejos-Sanchez, CE Medina-Solis, G Maupome, Rev Invest Clin. 2005 Uly-Aug;57(4):532-9
(4) AADR 35th Annual Meeting in Orlando:
Abstract # 0458 - Trends in Dental Caries of Primary Teeth, United States, 1988-2002, F Jaramillo, E Beltran, L Barker, S Griffin, Centers for Disease Control and Prevention http://iadr.confex.com/iadr/2006Orld/techprogram/abstract_76323.htm
(4a) Beltrán-Aguilar et al. Surveillance for Dental Caries, Dental Sealants, Tooth Retention, Edentulism and Enamel Fluorosis – United States, 1988-1994 and 1999-2002. MMWR. CDC August 26, 2005
http://www.cdc.gov/mmwr/preview/mmwrhtml/ss5403a1.htm
(5) AADR 35th Annual Meeting in Orlando:
Abstract # 0881 - No association between breastfeeding and early childhood caries: NHANES 1999-2002, H Iida, P Auinger, M Weitzman, RJ Billings http://iadr.confex.com/iadr/2006Orld/techprogram/abstract_75842.htm
(5a) Breastfeeding is Protective Against Dental Fluorosis in a Nonfluoridated Rural Area of Ontario, Canada, D Brothwell, H Limeback, Journal of Human Lactation, Vol. 19, No. 4, 386-390 (2003) http://jhl.sagepub.com/cgi/content/abstract/19/4/386
(6) AADR 35th Annual Meeting in Orlando:
Abstract # 0l50 - Caries Experience among Chinese-American Children and Adolescents in Lower Manhattan, CH Chinn http://iadr.confex.com/iadr/2006Orld/techprogram/abstract_74008.htm
(7) AADR 35th Annual Meeting in Orlando:
Abstract # 0478 - Dental Caries in Latino Elementary School Children, S Gajendra http://iadr.confex.com/iadr/2006Orld/techprogram/abstract_74009.htm
(8) AADR 35th Annual Meeting in Orlando:
Abstract # 1992 - Severity of Dental Caries Among African American Children in Detroit, AI Ismail, M Tellez http://iadr.confex.com/iadr/2006Orld/techprogram/abstract_73168.htm
Tuesday, October 07, 2008
Fluoride in Tap Water a Health Hazard
Fluoridation cheerleaders such as the American Dental Association (ADA) and the US Centers for Disease Control (CDC) claim this report has nothing to do with fluoridation (the addition of fluoride chemicals into public water supplies). However, because of the NRC report, both the ADA and CDC now recommend that infant formula NOT be mixed with fluoridated water.
Citing the NRC report, the National Kidney Foundation withdrew its support of fluoridation and replaced it with this warning: “Individuals with CKD [Chronic Kidney Disease] should be notified of the potential risk of fluoride exposure.”
A January 2008 Scientific American article reported that after 3 years of scrutinizing hundreds of studies, the NRC expert panel “concluded that fluoride can subtly alter endocrine function, especially in the thyroid – the gland that produces hormones regulating growth and metabolism,” reports its author Dan Fagin.
Fagin quotes John Doull, professor emeritus of pharmacology and toxicology at the University of Kansas Medical Center, who chaired the NRC expert panel: “The thyroid changes do worry me.”
“Many Americans are exposed to fluoride in the ranges associated with thyroid effects, especially for people with iodine deficiency,” said Kathleen Thiessen, PhD, co-author of the government-sponsored NRC report. “The recent decline in iodine intake in the U.S could contribute to increased toxicity of fluoride for some individuals,” says Thiessen. She and at least two other panel members publicly call for an end to water fluoridation.
“A low level of thyroid hormone can increase the risk of cardiac disease, high cholesterol, depression and, in pregnant woman, decreased intelligence of offspring,” said Thiessen.
An analysis of published fluoride/IQ studies e-published 8/10/08 “found a consistent and strong association between the exposure to fluoride and low IQ (published in Biological Trace Element Research el al.).
An Institute for Children’s Environmental Health report published February 2008 and revised July 2008 said "The primary question remains as to whether exposures to fluoride via multiple routes of exposure, from drinking water, food and dental-care products, may result in a high enough cumulative exposure to contribute to developmental effects…(E)merging science suggests we need to further study the dose at which fluoridation may increase risks of neurodevelopment disorders, cancer and skeletal or dental fluorosis, particularly for sensitive individuals."
Over 1,840 professionals signed a statement urging Congress to stop water fluoridation until Congressional hearings are conducted.. See: http://www.fluorideaction.org/statement.august.2007.html
An Online Action Petition to Congress in support of the Professionals' Statement is available on the Fluoride Action Network's web site, http://congress.fluorideaction.net
Organized dentistry and many individual dentists in government and in private practice continue to ignore and/or lie about this extremely scientific NRC report in favor of promoting fluoride. This is beneficial to corporations who financially support dental union groups such as the American Dental Association and its state constituent groups. They have made the American Dental Association into one of the richest and politically powerful lobbying groups in the country which continually legislates for laws that benefits dentists.
Because of the ADA’s money and power, most dentists make three times as much as physicians while working fewer hours and days doing less critical work. They are the rich "guys" contributing to political coffers. However, 80% of dentists refuse to treat Medicaid patients and 108 million Americans don't have dental insurance. People in America are dying from untreated tooth decay.
Fluoridation gives legislators a false fact to fall back upon when asked why they support water fluoridation. The truth is they support the American Dental Association and the fluoride producing corporations who shore up political campaigns to get re-elected. In return, they pass laws favorable to dentists.
The New York Times reported how the NY Dental Society, in effect, buys laws that benefit themselves. (July 16, 2008 editorial “Dental Decay in Albany”)
Thursday, August 07, 2008
Health Canada Cuts Fluoride to Protect Kids Teeth
Because scientific evidence shows that even low amounts of ingested fluoride poses dental and health risks, many environmental groups, eleven US Environmental Protection Agency Unions and over 1,790 professionals
urge that fluoridation be stopped worldwide. See: http://www.fluoridealert.org/professionals.statement.html
"The best way to lower children’s fluoride intake, as Health Canada suggests, is to stop fluoridation," says Paul Connett, PhD, Executive Director, Fluoride Action Network (FAN). "It makes no sense to prescribe fluoride drugs to children via the water supply at levels which are between 150 and 250 times higher than the level in mothers’ milk,” says Connett.
Despite breast milk’s extremely low fluoride content, it’s both protective against dental fluorosis and tooth decay, studies show.
Canadian water fluoride levels, now between 0.8 and 1.0 milligrams fluoride per liter of water (mg/L), should be lowered to 0.7 mg/L, says Health Canada’s fluoride panel
The level of fluoride in Toronto, Canada’s water was reduced from 1.2 to 0.8 mg/L in 1999 and to 0.6 mg/L in 2005. In 2000, moderate dental fluorosis was reported in 14% of 7-year-olds and 12% of 13-year-olds.
Toronto-based Citizens for a Safe Environment (CSE) wants fluoridation stopped entirely in Toronto and will co-host two public fluoride meetings with FAN in downtown Toronto on Monday August 11.
“These meetings will give the public information they don’t get from our government or dental organizations,” says CSE director Karen Buck. “In the afternoon, a panel will address the question of whether Toronto should stop fluoridating its water. In the evening, experts will explain fluoride’s dangers to health.”
After receiving an invitation to attend, the Ontario Dental Association (ODA) sent out a news release urging legislators and communities to stand up in support of fluoridation; but the ODA will not do so, themselves.
"The best way that the ODA can get communities and politicians to stand up for water fluoridation is to provide, in person, a cogent and scientifically-referenced defense of fluoridation at the afternoon forum," says Buck
For more info on the conferences: http://fluoridealert.org/august.11.html
Dentists who promote fluoridation often dismiss mild dental fluorosis (white spots) as “not a problem.” However, Dincer reports in the NYS Dental Journal that even white-spotted teeth can damage children’s self-esteem. Cosmetic dentists happily cover up any dental fluorosis, mild, moderate or severe, often for very high out-of-pocket fees.
American children consume much more fluoride than Canadian children evidence shows.
The six-member Health Canada panel included American dentist, Jayanth Kumar of the New York State Department of Health which still recommends water fluoride levels between 0.7 to 1.2 mg/L
Unlike American authorities, Health Canada does not recommend fluoride drops or tablets for children under age three who live in non-fluoridated communities.
The US EPA also allows high amounts of (sulfuryl) fluoride pesticide residues to remain on foods which is not so in Canada, according to Health Canada.
In the US, up to 48% of children have fluorosis, with 4% moderate/severe, according to the CDC.
While dental Fluorosis is an obvious sign of fluoride toxicity, unseen is fluoride’s toxic bodily effects.
A March 2006 National Research Council (NRC) fluoride report reveals science showing how fluoride jeopardizes health - even at low levels deliberately added to public water supplies. Fluoride poses risks to the thyroid gland, bones, diabetics, kidney patients, high water drinkers, infants, and others and can severely damage children's teeth. At least three panel members advise avoiding fluoridated water and Panel Chairman, toxicologist John Doull, is worried about the thyroid effects.
Because of the NRC report, the National Kidney Foundation withdrew its fluoridation support and both the ADA and CDC advise that infant formula should not be mixed with fluoridated water.
The NRC found plausible studies linking fluoride to lowered IQ.
The Health Canada fluoride panel claims that “the weight of evidence does not support a link between fluoride and intelligence quotient deficit.”
However, “It is hard to believe that any "weight of evidence" analysis could possibly dismiss fluoride's neurological impacts. There have now been over 40 animal studies which show that fluoride can damage the brain, and no less than 18 studies which show that fluoride lowers IQ in children, and only 2 that don't,” says Connett
The latest issue of the journal, Fluoride http://www.FluorideResearch.Org , published 12 newly-translated Chinese studies, which report fluoride’s effects on the brain, including the lowering of IQ in children. These and other brain studies will be reviewed at both conferences.
Dr. Vyvyan Howard, an infant and fetal pathologist, and president of the International Society of Doctors for the Environment, will be presenting a major review of studies on fluoride’s brain effects, including the translated Chinese studies.
END
Wednesday, July 02, 2008
Dentists Admit Fluoride a Risk to Kidney Patients
Along with false assurances of safety, fluoride chemicals are added to some public and bottled water in the unscientific belief it reduces cavities.
Fluoride-induced bone damage could occur in kidney patients who consume even "optimally" fluoridated water because malfunctioning kidneys do not properly sift fluoride from the blood and out of the body. Fluoride builds up in bones making them brittle and fracture.
For this reason, the National Kidney Foundation (NKF) withdrew its fluoridation endorsement in October 2007, which they made public in a fluoride paper dated April 15, 2008 with advice that “individuals with CKD [Chronic Kidney Disease] should be notified of the potential risk of fluoride exposure.”
After the 2006 National Research Council's (NRC) fluoride toxicology report was brought to their attention, the NKF withdrew its fluoridation endorsement.
The NRC fluoride report 12-member panel was created to review current fluoride toxicology data at the request of the Environmental Protection Agency to determine whether the maximum contaminant level goal (4 mg/L) of fluoride in public water supplies is safe. The NRC says that level must be lowered. But neither the NRC nor the EPA has determined how low it should go.
At least three NRC panel members conclude that water fluoride levels should be close to zero, not only to protect kidney patients, but also thyroid patients, infants and high water drinkers.
This would effectively shut down fluoridation in the U.S. But organized dentistry isn't going to let go of its pet project and diminish its political viability by admitting fluoridation is a failed experiment. So they downplay anything negative about fluoride and in this case they want you to know that fluoride is only a secondary concern. And, of course, I want you to know that secondary doesn't mean no concern.
However, even the ADA seems to be covering their legal assets with this statement in their Fluoridation Facts booklet, “decreased fluoride removal may occur among persons with severely impaired kidney function who may not be on kidney dialysis.”
Dr. Julie Gerberding, Director, Centers for Disease Control (CDC) Director who states the CDC is "America’s health protection leader" has yet to post any of this information on its website. They usually follow the lead of the ADA concerning fluoride and fluoridation.
The CDC’s website still erroneously claims, ““The findings of the NRC report are consistent with CDC’s assessment that water is safe and healthy at the levels used for water fluoridation (0.7–1.2 mg/L)”
The NRC reports “Early water fluoridation studies did not carefully assess changes in renal [kidney] function...Several investigators have shown that patients with impaired renal function, or on hemodialysis, tend to accumulate fluoride much more quickly than normal."
New York State Department of Health employee, Dr. J. Kumar received the ADA’s fluoridation award. With money and support from the CDC Kumar is promoting fluoridation in New York State by conducting fluoridation spokesperson training among other activies.
Kumar is ignoring his own 1990 health department report published in Oral biology and Medicine which concluded "The available data suggest that some individuals may experience hypersensitivity to fluoride-containing agents. Further studies on hypersensitivity are required" and "Studies on the effects of fluoride in individuals with renal insufficiency are needed."
That advice wasn’t heeded. Those studies were never conducted. But Kumar and the NYS Department of Health is using our tax money to push even more fluoride into us.
According to the Fluoride Action Network,: “The bone changes commonly found among patients with advanced kidney disease closely resemble the bone changes found among individuals with the osteomalacic-type of skeletal fluorosis. This raises the possibility that some individuals with kidney disease are suffering from undiagnosed skeletal fluorosis.”
More fluoride/kidney information here: http://www.fluoridealert.org/health/kidney/index.html
References:
1) USDA Fluoride in Foods Database
http://www.nal.usda.gov/fnic/foodcomp/Data/Fluoride/fluoride.pdf
2) National Kidney Foundation, “Fluoride Intake in Chronic Kidney Disease,”
April 15, 2008
http://www.kidney.org/atoz/pdf/Fluoride_Intake_in_CKD.pdf
3) Nephrology Dialysis Transplantation
“Effects of fluoridation of community water supplies for people with
chronic kidney disease,” (2007) 22: 2763–2767, Ludlow et al.
http://www.kidney.org/atoz/pdf/KHAFluoridation_CKD-NDT_2007.pdf
4) National Kidney Foundation, “Fluoride”
http://www.kidney.org/atoz/atozItem.cfm?id=205
5) September 18, 2007 letter, Reeves to National Kidney Foundation
http://www.fluoridealert.org/NKF_letter01.pdf
6) October , 2007 news release “Did Kidney Foundation Leave Millions at Risk by Failing to Warn about Fluorides and Fluoridated Drinking Water?” by Daniel Stockin, MPH, The Lillie Center
http://fluoridealert.org/press/nkf.htm
7) American Dental Association,
http://www.ada.org/public/topics/fluoride/facts/compendium.asp
8) Louisiana Dental Association, “Health Smiles Coalition”
http://www.healthysmileslouisiana.org/coalition.html
9) American Dental Association, “Fluoridation Facts”
http://www.ada.org/public/topics/fluoride/facts/fluoridation_facts.pdf
10) U.S. Centers for Disease Control, MMWR “Prevalence of Chronic Kidney Disease and Associated Risk Factors --- United States, 1999—2004
http://www.cdc.gov/mmwr/preview/mmwrhtml/mm5608a2.htm
Saturday, January 26, 2008
1945 Human Experiment Predicted Current Fluoride Health Woes
In 1955, ten years into the experiment, researchers reported more bone defects, anemia and earlier female menstruation in children purposely dosed with sodium fluoride-laced drinking water (1956. Journal of the American Dental Association). This is the first, and only, fluoridation human health experiment and it was carried out on the entire population in the city of Newburgh NY.
How did this happen?
In the early 1900’s, brown and yellow discolored, but decay resistant, teeth were prevalent in healthier, wealthier U.S. populations drinking and irrigating their crops with naturally calcium-fluoridated water.
Researchers discovered fluoride was the tooth discoloring culprit and mistakenly thought fluoride was also the cavity-fighting hero – unaware that calcium was required to grow sound dentition. And also unaware of Dentist Weston Price’s extensive research published in 1939 showing that without fluoride, healthier populations had healthier teeth because of good diets.
Public health officials, so sure sodium fluoride safely benefited children’s teeth, had no misgivings about carrying out this very unusual experiment without first doing animal studies, without informed consent and without thought or interest about how sodium fluoride could afflict adults.
Mistakenly assuming all fluorides are the same, in 1945, sodium fluoride, waste products from industries such as Alcoa Aluminum Company (not natural calcium-fluoride), was added to Newburgh NY’s water supply at about one milligram fluoride per liter of water. Kingston NY, the control city for comparison purposes, was left fluoride-free.
Kingston and Newburgh are thirty-five miles apart on the Hudson River in New York State and in 1940 had populations of 31,956 and 28,817, respectively. In Newburgh, 500 children were examined after ten years and 405 in Kingston. Adults were never tested.
Although planned to last ten years, due to political pressure, the Newburgh/Kingston study was declared a success after five years which caused many U.S. cities to start fluoridation prematurely.
Newburgh's children were given complete physicals and x-rays, over the course of the study, from birth to age nine in the first year and up to age eighteen in the final year.
“(R)outine laboratory studies were omitted in the control group during most of the study, they were included in the final examination,” according to Schlesinger and colleagues, in “Newburgh-Kingston caries-fluorine study XIII. Pediatric findings after ten years.”
The researchers report after ten years of fluoridation in Newburgh New York:
-- “The average age at the menarche was 12 years among the girls studied in Newburgh and 12 years 5 months among the girls in Kingston.”
--Hemoglobin (iron-containing part of a red blood cell): “a few more children in the range below 12.9 grams per hundred milliliters in Newburgh”
--“…a slightly higher proportion of children in Newburgh were found to have a total erythrocyte (red blood cell) count below 4,400,000 per milliliter”
--Knee X-rays of Newburgh children reveals more cortical bone defects, and irregular mineralization of the thigh bone.
Only twenty-five Newburgh children had eye and ear exams. Two had hearing loss; eight had abnormal vision. Even though researchers discovered more adult cataracts in surveys conducted before 1944 in communities with naturally high water fluoride concentrations Newburg and Kingston adults were never checked for this defect.
Only two groups of twelve-year-old boys were tested for fluoride’s toxic kidney effects.
In a statewide survey conducted in 1954, J. A. Forst, M.D a New York public health official reported observing one-third more dental defects, including malposition of teeth, in fluoridated Newburgh, New York, than in the non-fluoridated control city of Kingston.
The 2004 book "The Fluoride Deception," by Christopher Bryson, reveals that in addition to NYS Dep't of Health examinations “the University of Rochester conducted its own studies, measuring how much fluoride Newburgh citizens retained in their blood and tissues. Health Department personnel cooperated, shipping blood and placenta samples to the Rochester scientists,” writes Bryson. Three times as much fluoride was found in the placentas and blood samples gathered from Newburgh as from non-fluoridated Rochester, reports Bryson.
Following back the scientific references in all current fluoridation safety literature will invariably lead back to the Newburgh/Kingston study which actually failed to prove fluoridation is safe for all who drink it although public health officials and dentists tell a different story..
On January 25, 1945, Grand Rapids Michigan was actually the first U.S. city to fluoridate; without health effects measured.. Even that study is scientifically dishonest. After five years tooth decay declined equally in Grand Rapids and its control city Muskegon Michigan so Muskegon’s water was fluoridated which actually invalidated this experiment.
So it’s not surprising that a toxicological review of current fluoride science by the prestigious National Academies shows that fluoride jeopardizes health - even at low levels deliberately added to public water supplies. Fluoride poses risks to the thyroid
gland, diabetics, kidney patients, high water drinkers and others and can severely damage children's teeth. Further studies linking fluoride to cancer and lowered IQ are plausible, they report.
In 1998, the New York Department of Health reported that fluoridated Newburgh NY children have more cavities and more fluorosis than never fluoridated Kingston NY children.(Figure 1, Page 41, "Recommendations for Fluoride Use in children"
NYS Dental Journal, February 1998 (NYS Department of Health).
References:
Fluoridation researcher, Peter Meiers, has more information about the Newburgh/Kingston study on his website:
http://www.fluoride-history.de/bartlett.htm
Newburgh-Kingston caries-fluorine study. XIII. Pediatric findings after ten years.
J Am Dent Assoc. 1956 Mar;52(3):296-306. SCHLESINGER ER, OVERTON DE, CHASE HC, CANTWELL KT.
http://fluoridedangers.blogspot.com/2006/01/human-experiment-predicts-fluoride.html
"In making comparisonson these data it should be remembered that Muskegon started fluoridation in July 1951"
http://www.pubmedcentral.nih.gov/picrender.fcgi?artid=1551218&blobtype=pdf
Tuesday, May 15, 2007
Dentists Are Big Fat Liars
May 10, 2007
Dentists Are Big Fat Liars
By Sally Stride
Dentists have been very derelict in their duty to educate Americans about the real reason why they are getting more cavities. Poor nutrition and too much fluoride.
Sufficient intakes of protein, calcium, phosphorus, vitamins A, C, and D are required to form healthy teeth, according to the American Dental Association.
Most cavities happen in poor children. Poor children are deficient in almost all of the above nutrients, according to the Centers for Disease Control. Low Income Americans are also less likely to be able to afford nutrient dense fruits and vegetables to satisfy the 7-9 servings required daily to keep healthy.
There are zero, nada, zip, NO studies showing any American child is fluoride deficient. In fact, the opposite is true. Loads of studies show American Children get way over recommended levels of fluoride from many sources - not just drinking water. And there is NO dispute between those for and against fluoridation that too much fluoride is harmful and can actually damage teeth (dental fluorosis).
In fact, the American Dental Association and the Centers for Disease Control, recognizing this problem, both advise that infant formulas should not be mixed with fluoridated water to avoid dental fluorosis which now occurs in about 50% of
Fluoride is inhaled via ocean mist, cold mist humidifiers, showers, and air pollution. It's a component of cigarette smoke, coal burning, brick, fertilizer, aluminum and other industrial air emissions. Fluoride is naturally high in tea and ocean fish and, because of fluoride containing pesticide residues, in some grape juices. Fluoride is in chicken baby food in concentrations high enough to cause dental fluorosis in the child if consumed daily. Any product made with mechanically deboned chicken such as chicken nuggets,
Since the EPA now allows sulfuryl fluoride to be used as a fumigant on many foods, even more foods will contain fluoride.
Unfortunately, most dentists compelling us to drink more fluoride don't know this and won't be able to discern when and how you've reach fluoride saturation.
Dentists are holding our poor children hostage and won't actually treat their dental disease unless the government gives them more money. In my opinion, they should be fined or sued for allowing this dental health crisis to occur on their watch.
Fluoridation is just a diversion to distract you from the real tragedy facing the poor - lack of dentists who really care.
If a dentist says your child requires more fluoride, he or she is either lying or fluoride-ignorant.
Authors Website: http://www.fluoridedangers.blogspot.com
Friday, February 16, 2007
Fluoride Not Reducing Cavities
presented in a recent National Academy of Sciences' (NAS) National Research Council (NRC) report.



